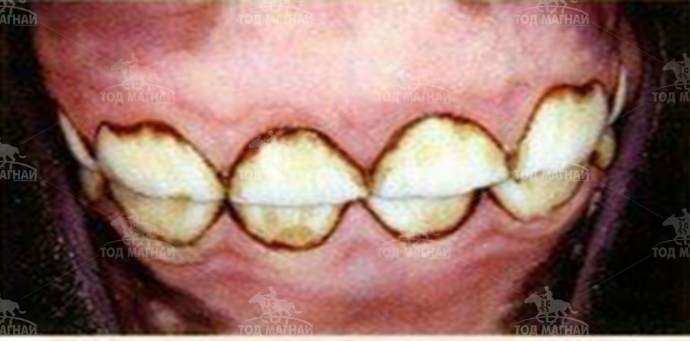
Даага буюу нэг настай адууны шүд


Даага насны адууны шүд нь бүхэлдээ дөнгөж ургаж гүйцсэн сүүн шүд байдаг ба ямар нэг өө сэвгүй жигдхэн цагаан шүд байдаг. Сүүн шүд нь цөгц бүрэн суусан байдаг ба цөгц нь элэгдээгүй байдаг учраас цөгц жигд, зуулт нь тэгш жигд байдаг. Цөгцний зураа нь үндсэн дөрвөн шүдэнд нарийн урт байх бөгөөд захын шүдэнд цөгц бүрэн суугаагүй цөгц дүүрээгүй зууван дугуй хэлбэрийн хонхорхой хэлбэртэй байдаг. Захын үүдэн шүдний зуулт өндөр хэсэгтээ хүрсэн бусад үрэгдэх хэсэг нь хүрээгүй буюу гурвалжин хэлбэрийн зай үүсгэсэн байдаг. Энэ нь хажуу талаас нь харвал захын үүдэн шүдний хавирах гадаргуу бүрэн нийлээгүй байдаг байна. Зөвхөн энэ шинж тэмдэгээр л ялгах бөгөөд шүдний бусад хэсгийн байдал үндсэндээ ижил төстэй байдаг.

Даага буюу нэг настай адууны үүдэн шүдийг эгц урддас нь харуулсан байдал
Даага насанд үүдэн шүд бүрэн ургасан байдаг ч сүүн шүд нь солигдож эхлээгүй сүүн шүдтэйгээ байдаг. Даагны шүд эгц урдаас нь харахад нэг түвшинд ургасан жигдхэн цагаан шүд байдаг. Дааганы шүд нь эгц урдаас нь харсан байдлаараа шүдлэн адуутай ялгарахгүй ижилхэн дүрс хэмжээтэй байдаг.

Дааганы шүдийг хажуу талаас нь харсан байдал
Даага шүдлэнгийн шүдийг ялгахын тулд сайтар харах хэрэгтэй бөгөөд дааганы шүд хажуу талаас нь харвал захын үүдэн шүд арай ургаж гүйцээгүй буюу шүдний зуулт нь хавирах гадаргууд бүрэн хүрээгүй байдаг. Зөвхөн энэ шинж тэмдэгээр л шүдлэн адуунаас ялгаж тодорхойлох боломжтой юм.

Дааганы захын үүдэн шүдний цөгц нь бүрэн түрж тэгшрээгүй халбаганы хонхорхой хэлбэртэй байдаг тул энийг “халбагших” хэлбэр гэж тодорхойлдог. Энэ “халбагших” хэлбэртэй шүд нь зарим үед шүдний дотор хэсэг нь сэтэрхий байх нь бий.
МУ-ын зөвлөх мал зүйч, ХААУ-ны доктор Д.Зоригтбаатар
1 Сэтгэгдэл
ХХЗХ-ны журмын дагуу зүй зохисгүй зарим үг, хэллэгийг хязгаарласан тул ТА сэтгэгдэл бичихдээ хууль зүйн болон ёс суртахууны хэм хэмжээг хүндэтгэнэ үү. Хэм хэмжээг зөрчсөн сэтгэгдэлийг админ устгах эрхтэй.
-
Лхагва, 10:42 минут "Их хурд-10" уралдаанд эхний 10-т хурдалсан дааган…
-
9-р сарын 20 -нд Д.Доржцэвээн: Монголчууд эртнээс Дамдин Сандүв бур…
-
9-р сарын 16 -нд Эрдэмт уяачид, эрэмгий хүлгүүд: Тод манлай уяач С.…
-
9-р сарын 16 -нд "Их хурд-10" уралдаанд эхний 10-т хурдалсан шүдлэн…
-
9-р сарын 16 -нд Түмэн эх Бүлтгэр халзан
-
9-р сарын 10 -нд Эрдэмт уяачид, эрэмгий хүлгүүд: Тод манлай уяач Д.…
-
9-р сарын 10 -нд "Их хурд-10" уралдаанд эхний 10-т хурдалсан хязаал…
-
9-р сарын 04 -нд МУ-ын Алдарт уяач И.Золбоо: Хонгор нутгаас төрийн …
-
9-р сарын 03 -нд Эрдэмт уяачид, эрэмгий хүлгүүд: Тод манлай уяач Б.…
-
9-р сарын 02 -нд "Их хурд-10" уралдаанд эхний 10-т хурдалсан соёоло…
-
2025 оны 8-р сарын 21 -нд "Их хурд-10" уралдаанд эхний 10-т хурдалсан их нас…
-
2025 оны 8-р сарын 11 -нд ММСУХ-ны 30 жилийн ой, "Их хурд-10" уралдаанд эхни…
-
2025 оны 8-р сарын 05 -нд Сүүт гүүний унагыг шүтсү...
-
2025 оны 8-р сарын 04 -нд Зүүн бүсийн сонгомол бага ангилалд Ц.Мягмардоржийн…
-
2025 оны 8-р сарын 02 -нд Зүүн бүсийн сонгомол дээд насны ангилалд Х.Нурлаты…
-
2025 оны 8-р сарын 02 -нд Зүүн бүсийн сонгомол дунд насны ангилалд Э.Бямбасү…
-
2025 оны 7-р сарын 30 -нд Говийн бүсэд Д.Ариуннарангийн хээр хязаалан түрүүл…
-
2025 оны 7-р сарын 30 -нд Говийн бүсэд М.Адъяабаатарын хар шүдлэн түрүүлжээ
-
2025 оны 7-р сарын 30 -нд Зүүн бүсэд Э.Бат-Эрдэнийн Солонго зээрд түрүүлжээ
-
2025 оны 7-р сарын 30 -нд Говийн бүсэд Б.Отгонсэлэнгийн хээр морь түрүүлжээ
-
2025 оны 7-р сарын 30 -нд Баруун бүсийн сонгомол дээд насны ангилалд Т.Цэенд…
-
2025 оны 7-р сарын 29 -нд Зүүн бүсэд М.Энхтайванбаатарын зээрд халзан даага …
-
2025 оны 7-р сарын 29 -нд Зүүн бүсэд С.Хүдэрчулууны зээрд соёолон түрүүлжээ
-
2025 оны 7-р сарын 29 -нд Баруун бүсэд Б.Норовсамбуугийн халтар морь түрүүлл…
-
2025 оны 7-р сарын 29 -нд Говийн бүсэд Б.Баярмагнайн бор соёолон түрүүллээ
-
2025 оны 7-р сарын 29 -нд Баруун бүсэд О.Баатарын хонгор соёолон түрүүллээ
-
2025 оны 7-р сарын 29 -нд Баруун бүсэд Б.Норовсамбуугийн Гоё хээр азарга түр…
-
2025 оны 7-р сарын 29 -нд Говийн бүсэд Б.Тогтохын хүрэн халзан азарга түрүүл…
-
2025 оны 7-р сарын 29 -нд Зүүн бүсэд Б.Саянсанаагийн халиун азарга түрүүллээ
-
2025 оны 7-р сарын 28 -нд Баруун бүсийн сонгомол бага насны ангилалд Л.Нямба…
-
2025 оны 7-р сарын 28 -нд Баруун бүсэд А.Ариунболдын зээрд даага түрүү магна…
-
2025 оны 7-р сарын 28 -нд Баруун бүсийн сонгомол дунд насны ангилалд эхний 1…
-
2025 оны 7-р сарын 28 -нд Баруун бүсэд Б.Дагвабазарын хээр хязаалан түрүүллэ…
-
2025 оны 7-р сарын 28 -нд Зүүн бүсэд Б.Баярхүүгийн зээрд шүдлэн түрүүллээ
-
2025 оны 7-р сарын 28 -нд Баруун бүсэд Батдоржийн Ганбаярын хээр халзан шүдл…
-
2025 оны 7-р сарын 28 -нд Увс аймагт болсон баруун бүсийн уралдаануудад түрү…
-
2025 оны 7-р сарын 28 -нд Баруун бүсийн шүдлэн насны морьд гарааны зурхай ру…
-
2025 оны 7-р сарын 28 -нд Зүүн бүсэд Ж.Батзоригийн хар хязаалан түрүүллээ
-
2025 оны 7-р сарын 28 -нд Дорнод аймагт болсон "Зүүн бүсийн хурд" уралдаануу…
-
2025 оны 7-р сарын 28 -нд Зүүн бүсэд 113 хязаалан бүртгүүлжээ
-
2025 оны 7-р сарын 27 -нд Эрдэмт уяачид, эрэмгий хүлгүүд- Тод манлай уяач Д.…
-
2025 оны 7-р сарын 27 -нд Хангайн бүсэд Б.Гөлөгсайханы бор шүдлэн түрүүллээ
-
2025 оны 7-р сарын 27 -нд Хөдөлмөрийн баатар Б.Далай нутагтаа "Цэнхэр тэнгэ…
-
2025 оны 7-р сарын 27 -нд Хангайн бүсэд 121 соёолон мордож, Н.Мөнхийн бор ха…
-
2025 оны 7-р сарын 27 -нд Хангайн бүсэд 147 хязаалан мордож, Г.Хишигбатын хэ…
-
2025 оны 7-р сарын 26 -нд "Хангайн бүсийн хурд-2025" уралдаанд эхний 10-т ху…
-
2025 оны 7-р сарын 26 -нд Хангайн бүсэд М.Мөнхбатын хул морь түрүүллээ
-
2025 оны 7-р сарын 26 -нд Хангайн бүсэд Н.Мөнхзоригийн хээр азарга түрүүллээ
-
2025 оны 7-р сарын 25 -нд "Хангайн бүсийн хурд-2025" уралдааны сонгомол бага…
-
2025 оны 7-р сарын 25 -нд "Хангайн бүсийн хурд-2025" уралдааны сонгомол дунд…
66.181.161.74
Соёорлон хэдэн настай адуу вэ
Reply